Secondary Sjögren's syndrome in (NZB x NZW)F1 Mice
(also a model of systemic lupus erythematosus)
(NZB x NZW)F1 mice (also referred to as NZBWF1 mice) spontaneously develop autoimmune diseases closely resembling secondary Sjögren's syndrome and systemic lupus erythematosus (SLE), with proteinuria development starting at 22 weeks of age. By 35 weeks of age, inflammation can be found by histological analysis in the submandibular (salivary) and lacrimal (tear) glands in most mice.
Both secondary Sjögren's syndrome and SLE can be accelerated in NZBWF1 mice using an adeno-associated virus (AAV) encoding IFNα (AAV-IFNα) in younger (10- to 13-week-old) mice, resulting in studies lasting approximately 6 weeks.
The most important readout for Sjögren's syndrome in these models is inflammation of submandibular glands and lacrimal glands as determined by histological analysis.
For more information on SLE development in these mice, please refer to our pages on SLE in NZBWF1 mice and AAV-IFNa-accelerated SLE in NZBWF1 mice.
Please contact Hooke at or with questions or for a quotation.
Typical results - spontaneous secondary Sjögren's syndrome
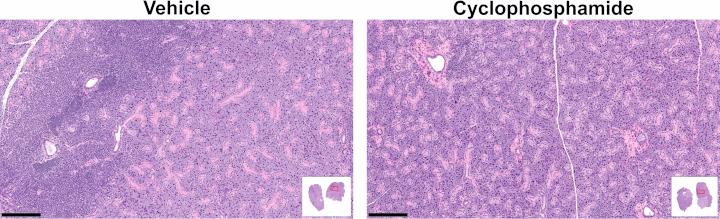
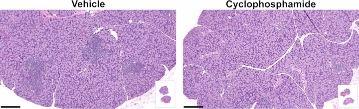
Mice were treated from week 21 of age (Week 21) through the end of the study (Week 41). At the end of the study, submandibular and lacrimal glands were collected for histological analysis and inflammatory foci per section counted.
Graphs show mean ± SEM, and table shows mean ± SD. *** indicates p < 0.001.
| Submandibular glands | Lacrimal glands | ||||
|---|---|---|---|---|---|
| Treatment | # mice | Inflammatory foci per section |
p value | Inflammatory foci per section |
p value |
| Vehicle | 16 | 56.9 ± 19.2 | - | 22.1 ± 8.5 | - |
| Cyclophosphamide | 12 | 7.2 ± 8.5 | <0.001 | 7.6 ± 8.9 | <0.001 |
Numbers of inflammatory foci compared using 2-tailed Student's t-tests.
For a higher resolution image, click on the image above. Scale bars are 250 µm. Insets illustrate longitudinal submandibular gland sections (2 glands) with red outlines indicating the locations of the magnified images.
For a higher resolution image, click on the image above. Scale bars are 250 µm. Insets illustrate longitudinal lacrimal gland sections (2 glands) with red outlines indicating the locations of the magnified images.
Typical results - AAV-IFNα-accelerated secondary Sjögren's syndrome
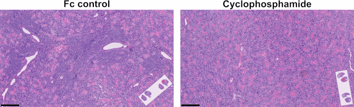
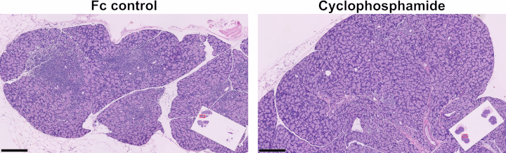
Mice were treated from Day 0 (day AAV-IFNα was injected) through Day 45. At the end of the study (Day 50), submandibular glands and lacrimal glands were collected for histological analysis and inflammatory foci per section were counted.
Graphs show mean ± SEM, and table shows mean ± SD. *** indicates p < 0.001.
| Submandibular glands | Lacrimal glands | ||||
|---|---|---|---|---|---|
| Treatment | # mice | Inflammatory foci per section |
p value | Inflammatory foci per section |
p value |
| Fc control | 9 | 35.1 ± 12.3 | - | 26.8 ± 15.5 | - |
| Cyclophosphamide | 9 | 0.0 ± 0.0 | <0.001 | 2.7 ± 4.4 | <0.001 |
Numbers of inflammatory foci compared using 2-tailed Student's t-tests.
For a higher resolution image, click on the image above. Scale bars are 250 µm. Insets illustrate longitudinal submandibular gland sections (2 glands) with red outlines indicating the locations of the magnified images.
For a higher resolution image, click on the image above. Scale bars are 250 µm. Insets illustrate longitudinal lacrimal gland sections (2 glands) with red outlines indicating the locations of the magnified images.





_150px.jpg)