Systemic Lupus Erythematosus (SLE) in (NZB x NZW)F1 Mice
(also a model of secondary Sjögren's syndrome)
(NZB x NZW)F1 mice (also referred to as NZBWF1 mice) spontaneously develop autoimmune diseases closely resembling SLE and secondary Sjögren's syndrome. We routinely run this model in female NZBWF1 mice.
Similar to human patients with SLE, these mice develop high concentrations of autoimmune anti-dsDNA and anti-nuclear antibodies, proteinuria, and immune complex glomerulonephritis. These mice have a strong type I interferon signature. Production of anti-nuclear and anti-dsDNA antibodies is detectable as early as 20 weeks of age. Mice develop extensive kidney pathology over a range of ages, typically following decline in body condition and several weeks of high proteinuria scores. As in human patients, disease in NZBWF1 mice is polygenic and spontaneous, making this an excellent model of human SLE, with very good predictive value for drug efficacy.
These mice also develop inflammation in the submandibular and lacrimal glands closely resembling secondary Sjögren's syndrome.
Treatment usually starts when mice are 21 to 24 weeks old, when initial signs of disease are normally present in some mice, but before severe proteinuria and irreversible kidney damage develop in most mice. By 42 weeks of age, 80 to 100% of untreated mice will develop glomerulonephritis.
Our standard in vivo readouts are proteinuria, body weight, and anti-dsDNA antibodies in serum or plasma. At the end of the study, we typically measure kidney and spleen weights, anti-dsDNA antibodies and blood urea nitrogen (BUN) in serum or plasma, and perform complete blood count (CBC) and histological analysis of kidneys. We can also perform immunofluorescence (IF) analysis of kidneys to evaluate IgG and C3 presence in the kidney cortex (glomeruli), flow cytometric analysis of splenocytes and kidney-infiltrating cells, and histological analysis of submandibular glands and lacrimal glands.
Please contact Hooke at or with questions or for a quotation.
Typical results - spontaneous SLE
Mice were treated from week 23 of life (Week 23) through the end of the study (Week 42). Proteinuria was measured once per week and body weight twice per week from Week 21. Serum was collected from all mice at Weeks 23 and 34 for anti-dsDNA IgG antibody measurement. At the end of the study serum was collected again for anti-dsDNA IgG antibody and blood urea nitrogen (BUN) measurement, kidneys and spleens were weighed, and left kidneys were collected for histological analysis.
Graphs below show mean + SEM or mean ± SEM, and tables show mean ± SD. * indicates p < 0.05, ** p < 0.01, *** p < 0.001.
Clinical readouts
As shown below, cyclophosphamide treatment inhibits disease development as evidenced by significantly lower proteinuria scores at the end of the study. Mice treated with cyclophosphamide typically experience an early spike in proteinuria.
| Treatment | # mice | End proteinuria score | p value |
|---|---|---|---|
| Vehicle | 14* | 3.43 ± 0.81 | - |
| Cyclophosphamide | 15 | 1.97 ± 0.23 | <0.001 |
*One (1) mouse was euthanized at Week 35 due to complications of lymphadenopathy and all readouts were therefore excluded after euthanasia.
End proteinuria scores compared using Wilcoxon's non-parametric test.
Tissue weights
| Treatment | Kidney (mg)* | p value | Spleen (mg) | p value |
|---|---|---|---|---|
| Vehicle | 225 ± 49 | - | 148 ± 49 | - |
| Cyclophosphamide | 192 ± 19 | 0.022 | 48 ± 6 | <0.001 |
Tissue weights compared using 2-tailed Student's t-tests.
*For each mouse, the average weight of both kidneys was calculated and used for analysis.
BUN and anti-dsDNA measurements
| Treatment | BUN in serum (mg/dL) | p value |
|---|---|---|
| Vehicle | 64.5 ± 47.0 | - |
| Cyclophosphamide | 19.2 ± 3.4 | <0.001 |
BUN in serum concentrations compared using 2-tailed Student's t-test.
| anti-dsDNA IgG in serum (units/mL) | |||||
|---|---|---|---|---|---|
| Treatment | Week 23 (baseline) |
Week 34 | p value | Week 42 (terminal) |
p value |
| Vehicle | 436 ± 458 | 1268 ± 1377 | - | 2189 ± 1517 | - |
| Cyclophosphamide | 194 ± 110 | 0.006 | 191 ± 81 | <0.001 | |
Anti-dsDNA antibody concentrations in serum compared using 2-tailed Student's t-tests.
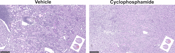
Histological analysis of kidneys
| Histological analysis of kidneys | ||||||
|---|---|---|---|---|---|---|
| Treatment | Total glomerular lesion | p value | Total tubular and interstitial lesion | p value | Total kidney lesion | p value |
| Vehicle | 4.9 ± 2.7 | - | 1.1 ± 1.0 | - | 6.1 ± 3.6 | - |
| Cyclophosphamide | 0.4 ± 0.9 | <0.001 | 0.0 ± 0.0 | <0.001 | 0.4 ± 0.9 | <0.001 |
Kidney lesion scores compared using Wilcoxon's non-parametric tests.
For a higher resolution image, click on the image above. Scale bars are 250 µm. Insets illustrate kidney transverse sections at the hilus (kidney cut in half, both halves embedded and sectioned), with red outlines indicating the locations of the magnified images.
IF analysis of IgG in kidney cortex
Mice were treated from Week 21 through the end of the study (Week 41). At the end of the study, kidneys were collected for IF analysis of IgG in the kidney cortex (glomeruli).
Graph shows mean ± SEM, and table shows mean ± SD. *** indicates p < 0.001.
| Treatment | # mice | IgG+ area of kidney cortex (%) | p value |
|---|---|---|---|
| Vehicle | 16 | 5.6 ± 4.6 | - |
| Cyclophosphamide | 12 | 0.2 ± 0.2 | <0.001 |
Proportion of IgG+ area of kidney cortex compared using 2-tailed Student's t-test.
For a higher resolution image, click on the image above. Scale bars are 50 µm. Images are magnified on the kidney cortex from transverse sections at the hilus.
Flow cytometric analysis of kidneys
Mice were treated from week 23 of life (Week 23) through the end of the study (Week 42). At the end of the study, right kidneys and spleens were collected from all remaining mice in the Vehicle group and from 7 representative mice in the Cyclophosphamide group for flow cytometric analysis.
All graphs below show mean ± SEM, and tables show mean ± SD. ** indicates p < 0.01, *** p < 0.001.
| Flow cytometric analysis of kidneys - proportions of cells | |||||||
|---|---|---|---|---|---|---|---|
| Treatment | # mice | CD45+ in live cells (%) | p value | B220+CD4- in CD45+ cells (%) | p value | B220-CD4+ in CD45+ cells (%) | p value |
| Vehicle | 10 | 25.2 ± 12.1 | - | 6.6 ± 3.1 | - | 25.1 ± 9.3 | - |
| Cyclophosphamide | 7 | 2.3 ± 0.3 | <0.001 | 2.8 ± 0.4 | 0.009 | 34.8 ± 6.0 | 0.008 |
Cell population proportions compared using 2-tailed Student's t-tests.
| Flow cytometric analysis of kidneys - numbers of cells | ||||||||
|---|---|---|---|---|---|---|---|---|
| Treatment | Total live (x103) | p value | CD45+ (x103) | p value | CD45+B220+ CD4- (x103) |
p value | CD45+B220-CD4+ (x103) | p value |
| Vehicle | 1664 ± 425 | - | 458 ± 313 | - | 24.4 ± 11.6 | - | 104 ± 71 | - |
| Cycloph. | 874 ± 219 | <0.001 | 20 ± 5 | 0.002 | 0.6 ± 0.1 | <0.001 | 7 ± 2 | 0.002 |
Cell numbers compared using 2-tailed Student's t-tests.
Flow plots of CD45+ cells
Flow cytometric analysis of spleens
All graphs below show mean ± SEM, and tables show mean ± SD. ** indicates p < 0.01, *** p < 0.001.
| Flow cytometric analysis of spleens - proportions of cells | |||||||
|---|---|---|---|---|---|---|---|
| Treatment | # mice | CD45+ in live cells (%) | p value | B220+CD4- in CD45+ cells (%) | p value | B220-CD4+ in CD45+ cells (%) | p value |
| Vehicle | 10 | 99.7 ± 0.7 | - | 55.9 ± 6.8 | - | 24.6 ± 2.8 | - |
| Cyclophosphamide | 7 | 98.9 ± 0.5 | 0.733 | 27.6 ± 4.3 | <0.001 | 39.1 ± 12.8 | <0.001 |
Cell population proportions compared using 2-tailed Student's t-tests.
| Flow cytometric analysis of spleens - numbers of cells | ||||||||
|---|---|---|---|---|---|---|---|---|
| Treatment | Total live (x106) | p value | CD45+ (x106) | p value | CD45+B220+CD4- (x106) | p value | CD45+B220-CD4+ (x106) | p value |
| Vehicle | 115.5 ± 27.9 | - | 114.4 ± 27.6 | - | 64.9 ± 19.5 | - | 28.0 ± 6.5 | - |
| Cyclophosphamide | 23.4 ± 7.1 | <0.001 | 23.2 ± 7.0 | <0.001 | 6.5 ± 2.6 | <0.001 | 9.0 ± 2.5 | <0.001 |
Cell numbers compared using 2-tailed Student's t-tests.
Flow plots of CD45+ cells
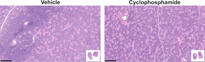
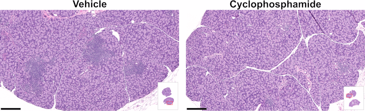
Typical results - spontaneous secondary Sjögren's syndrome
Mice were treated from week 21 of age (Week 21) through the end of the study (Week 41). At the end of the study, submandibular and lacrimal glands were collected for histological analysis and inflammatory foci per section counted.
Graphs show mean ± SEM, and table shows mean ± SD. *** indicates p < 0.001.
| Submandibular glands | Lacrimal glands | ||||
|---|---|---|---|---|---|
| Treatment | # mice | Inflammatory foci per section |
p value | Inflammatory foci per section |
p value |
| Vehicle | 16 | 56.9 ± 19.2 | - | 22.1 ± 8.5 | - |
| Cyclophosphamide | 12 | 7.2 ± 8.5 | <0.001 | 7.6 ± 8.9 | <0.001 |
Numbers of inflammatory foci compared using 2-tailed Student's t-tests.
For a higher resolution image, click on the image above. Scale bars are 250 µm. Insets illustrate longitudinal submandibular gland sections (2 glands) with red outlines indicating the locations of the magnified images.
For a higher resolution image, click on the image above. Scale bars are 250 µm. Insets illustrate longitudinal lacrimal gland sections (2 glands) with red outlines indicating the locations of the magnified images.





_150px.jpg)