Systemic Lupus Erythematosus (SLE) in MRL/lpr Mice
We routinely run systemic lupus erythematosus (SLE) in MRL/lpr mice at Hooke. Because it clinically resembles SLE in human patients and is relatively short (10 weeks), this is the most commonly used model of SLE.
MRL/lpr mice are homozygous for spontaneous mutation in the Fas gene, and develop lymphadenopathy (enlarged lymph nodes), splenomegaly (enlarged spleen), anti-nuclear and anti-dsDNA antibodies, and systemic autoimmunity. Autoimmune responses occur spontaneously in these mice, resulting in glomerulonephritis, arthritis, and often skin manifestations similar to those in human patients with SLE. MRL/lpr mice have a less prominent interferon signature than NZBWF1 mice.
We run this model in female mice; treatment usually starts when mice are approximately 10 weeks old. By 19 weeks of age, ~85% of untreated mice will develop kidney pathology - usually studies end at that point.
Autoimmune responses such as production of anti-nuclear antibodies are detectable as early as 8 weeks of age. Extensive kidney pathology is found at 16 to 30 weeks of age.
Our standard in vivo readouts are proteinuria, body weight, and anti-dsDNA antibodies in serum or plasma. At the end of the study, we typically measure kidney and spleen weights, anti-dsDNA antibodies and blood urea nitrogen (BUN) in serum or plasma, and perform histological analysis of kidneys.
Please contact Hooke at or with questions or for a quotation.
Typical results
Mice were treated from week 11 of life (Week 11) through the end of the study (Week 19). Proteinuria was measured once weekly from Week 10. Serum was collected at Weeks 11 and 16 for anti-dsDNA IgG antibody measurement, and at the end of the study for anti-dsDNA IgG antibody and BUN measurement. Kidneys were also collected at the end of the study for histological analysis.
Graphs show mean + or ± SEM, and tables show mean ± SD. * indicates p < 0.05, ** p < 0.01, and *** p < 0.001.
Clinical readouts
| Treatment | # mice | End proteinuria score | p value |
|---|---|---|---|
| Vehicle | 13* | 3.38 ± 0.77 | - |
| Cyclophosphamide | 10 | 2.25 ± 0.42 | <0.001 |
*Two (2) mice were euthanized due to complications of lymphadenopathy and all readouts were therefore excluded after euthanasia.
End proteinuria scores compared using Wilcoxon's non-parametric test.
Tissue weights
| Treatment | Kidney (mg)* | p value | Spleen (mg) | p value |
|---|---|---|---|---|
| Vehicle | 233 ± 51 | - | 496 ± 249 | - |
| Cyclophosphamide | 191 ± 32 | 0.036 | 116 ± 37 | <0.001 |
Tissue weights compared using 2-tailed Student's t-tests.
*Average of both kidneys.
BUN and anti-dsDNA measurements
| Treatment | BUN in serum (mg/dL) | p value |
|---|---|---|
| Vehicle | 58.4 ± 76.8 | - |
| Cyclophosphamide | 11.0 ± 5.0 | 0.066 |
BUN in serum concentrations compared using 2-tailed Student's t-test.
| anti-dsDNA IgG (units/mL) | |||||
|---|---|---|---|---|---|
| Treatment | Week 11 (baseline) |
Week 16 | p value | Week 19 (terminal) |
p value |
| Vehicle | 68 ± 69 | 147 ± 142 | - | 183 ± 135 | - |
| Cyclophosphamide | 28 ± 18 | 0.016 | 23 ± 6 | 0.001 | |
Anti-dsDNA antibody concentrations compared using 2-tailed Student's t-tests
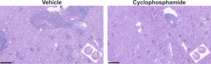
Histological analysis of kidneys
| Histological analysis of kidneys | ||||||
|---|---|---|---|---|---|---|
| Treatment | Total glomerular lesion | p value | Total tubular and interstitial lesion | p value | Total kidney lesion | p value |
| Vehicle | 5.2 ± 3.7 | - | 2.2 ± 1.8 | - | 7.4 ± 5.0 | - |
| Cyclophosphamide | 0.3 ± 0.7 | <0.001 | 0.3 ± 0.5 | <0.001 | 0.6 ± 0.8 | <0.001 |
Kidney lesion scores compared using Wilcoxon's non-parametric tests.
For a higher resolution image, click on the image above. Scale bars are 250 µm. Insets illustrate kidney transverse sections at the hilus (kidney cut in half, both halves embedded and sectioned), with red outlines indicating the locations of the magnified images.


_150px.jpg)