Adeno-Associated Virus (AAV)-IFNα-Accelerated Systemic Lupus Erythematosus (SLE) in (NZB x NZW)F1 Mice
(also a model of secondary Sjögren's syndrome)
(NZB x NZW)F1 mice (also referred to as NZBWF1 mice) spontaneously develop autoimmune diseases closely resembling SLE and secondary Sjögren's syndrome. Typically, spontaneous disease development occurs over a period of 18 or more weeks, starting at 22 weeks of age. An adeno-associated virus (AAV) encoding IFNα (AAV-IFNα) accelerates disease development in younger mice (10 to 13 weeks old), resulting in studies lasting approximately 6 weeks.
Similar to spontaneously developing SLE, NZBWF1 mice administered AAV-IFNα develop proteinuria, blood urea nitrogen (BUN) in serum, and glomerulonephritis closely resembling pathology in the spontaneously developing disease. In addition, and also similar to the spontaneous disease, mice develop inflammation in the submandibular and lacrimal glands resembling secondary Sjögren's syndrome.
Our standard in vivo readouts are proteinuria and body weight. At the end of the study, we typically measure kidney and spleen weights, blood urea nitrogen (BUN) in serum or plasma, and perform complete blood count (CBC) and histological analysis of kidneys. We can also perform immunofluorescence (IF) analysis of kidneys to evaluate IgG and C3 presence in the kidney cortex (glomeruli), flow cytometric analysis of splenocytes and kidney-infiltrating cells, and histological analysis of submandibular glands and lacrimal glands.
Please contact Hooke at or with questions or for a quotation.
Typical results - AAV-IFNα-accelerated SLE
On Day 0, mice were injected with AAV-IFNα. Mice were treated from Day 0 through Day 49. Proteinuria and body weight were measured twice per week from Day -1 through the end of the study (Day 50). At the end of the study, mice had serum collected for BUN measurement, kidneys and spleens weighed, and left kidneys collected for histological analysis.
Clinical readouts
As shown below, cyclophosphamide treatment inhibits disease development as evidenced by significantly lower proteinuria scores at the end of the study. Mice treated with cyclophosphamide typically experience an early spike in proteinuria.
Graphs below show mean + SEM or mean ± SEM, and tables show mean ± SD. * indicates p < 0.05, ** p < 0.01, *** p < 0.001.
| Treatment | # mice | End proteinuria score | p value |
|---|---|---|---|
| Vehicle | 10 | 3.95 ± 0.16 | - |
| Cyclophosphamide | 10 | 1.40 ± 0.52 | <0.001 |
End proteinuria scores compared using Wilcoxon's non-parametric test.
Tissue weights
| Treatment | Kidney (mg)* | p value | Spleen (mg) | p value |
|---|---|---|---|---|
| Vehicle | 239 ± 44 | - | 164 ± 38 | - |
| Cyclophosphamide | 172 ± 13 | <0.001 | 104 ± 10 | <0.001 |
Tissue weights compared using 2-tailed Student's t-tests.
*For each mouse, the average weight of both kidneys was calculated and used for analysis.
BUN in serum
| Treatment | BUN in serum (mg/dL) | p value |
|---|---|---|
| Vehicle | 126.0 ± 93.3 | - |
| Cyclophosphamide | 20.3 ± 2.7 | 0.002 |
BUN in serum concentrations compared using 2-tailed Student's t-test.
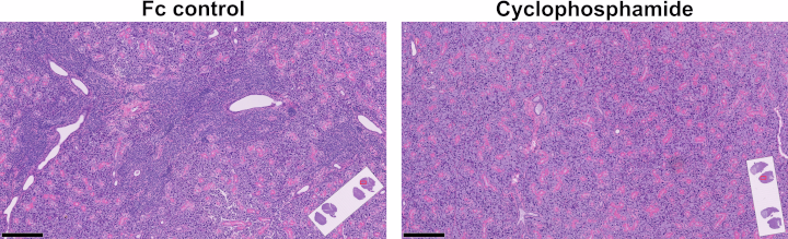
Histological analysis of kidneys
| Histological analysis of kidneys | ||||||
|---|---|---|---|---|---|---|
| Treatment | Total glomerular lesion | p value | Total tubular and interstitial lesion | p value | Total kidney lesion | p value |
| Vehicle | 5.4 ± 2.0 | - | 1.0 ± 0.7 | - | 6.4 ± 2.4 | - |
| Cyclophosphamide | 0.0 ± 0.0 | <0.001 | 0.0 ± 0.0 | <0.001 | 0.0 ± 0.0 | <0.001 |
Kidney lesion scores compared using Wilcoxon's non-parametric tests.
For a higher resolution image, click on the image above. Scale bars are 100 µm. Insets illustrate kidney transverse sections at the hilus (kidney cut in half, both halves embedded and sectioned), with red outlines indicating the locations of the magnified images.
IF analysis of IgG in kidneys
Mice were treated from Day 0 through Day 45. At the end of the study (Day 50), kidneys were collected for IF analysis of IgG in the kidney.
Graphs below show mean ± SEM, and table shows mean ± SD. *** indicates p < 0.001.
| IF analysis of IgG in kidneys | |||||
|---|---|---|---|---|---|
| Treatment | # mice | IgG+ area of sample area (%) | p value | Mean fluorescence intensity (MFI) of IgG | p value |
| Fc control | 9 | 1.92 ± 0.78 | - | 13.4 ± 2.6 | - |
| Cyclophosphamide | 9 | 0.07 ± 0.08 | <0.001 | 3.4 ± 0.7 | <0.001 |
Proportions of IgG+ areas of kidney sample areas and MFIs compared using 2-tailed Student's t-tests.
For a higher resolution image, click on the image above. Scale bars are 100 µm. Images are magnified on the kidney cortex from transverse sections at the hilus.
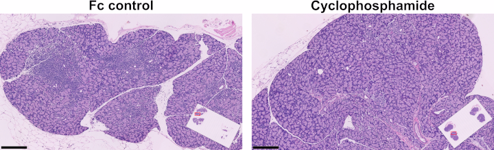
Typical results - AAV-IFNα-accelerated secondary Sjögren's syndrome
Mice were treated from Day 0 (day AAV-IFNα was injected) through Day 45. At the end of the study (Day 50), submandibular glands and lacrimal glands were collected for histological analysis and inflammatory foci per section were counted.
Graphs show mean ± SEM, and table shows mean ± SD. *** indicates p < 0.001.
| Submandibular glands | Lacrimal glands | ||||
|---|---|---|---|---|---|
| Treatment | # mice | Inflammatory foci per section |
p value | Inflammatory foci per section |
p value |
| Fc control | 9 | 35.1 ± 12.3 | - | 26.8 ± 15.5 | - |
| Cyclophosphamide | 9 | 0.0 ± 0.0 | <0.001 | 2.7 ± 4.4 | <0.001 |
Numbers of inflammatory foci compared using 2-tailed Student's t-tests.
For a higher resolution image, click on the image above. Scale bars are 250 µm. Insets illustrate longitudinal submandibular gland sections (2 glands) with red outlines indicating the locations of the magnified images.
For a higher resolution image, click on the image above. Scale bars are 250 µm. Insets illustrate longitudinal lacrimal gland sections (2 glands) with red outlines indicating the locations of the magnified images.





_150px.jpg)